![]()
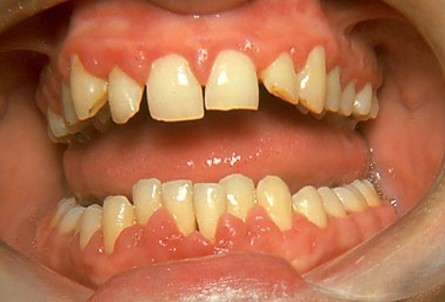
薬物性歯肉肥大。
知的障害とてんかんを持って生まれた10歳の少女の歯茎が肥大してしまった画像。
薬の副作用で起きる薬物性歯肉肥大というもので、けいれんを止める抗てんかん薬の副作用で起こる場合がある。
【関連記事】この男の子の歯茎、もうダメそう・・・(動画)

同じく薬物性歯肉肥大の画像


![]()
知的障害とてんかんを持って生まれた10歳の少女の歯茎が肥大してしまった画像。
薬の副作用で起きる薬物性歯肉肥大というもので、けいれんを止める抗てんかん薬の副作用で起こる場合がある。
【関連記事】この男の子の歯茎、もうダメそう・・・(動画)


