![]()
多指症。
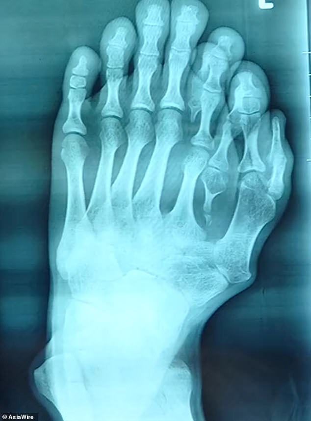
生まれつき左足の指が9本あった21歳の男性が正常な足にするための手術を受けた画像。
両親は「天からの贈り物」として対処しなかったため、男性は両親の反対を押し切って病院で手術を受けた。
【関連記事】合わせ鏡のような8本指の手「ミラーハンド症候群」(画像)
01

02

03

04

05

06

情報参照元:www.dailymail.co.uk
![]()
生まれつき左足の指が9本あった21歳の男性が正常な足にするための手術を受けた画像。
両親は「天からの贈り物」として対処しなかったため、男性は両親の反対を押し切って病院で手術を受けた。
【関連記事】合わせ鏡のような8本指の手「ミラーハンド症候群」(画像)






情報参照元:www.dailymail.co.uk