鼻の中に腫瘍が出来てしまった男の顔、歪んでしまう・・・(画像)

鼻の中に腫瘍が出来てしまった男の顔、歪んでしまう・・・(画像)

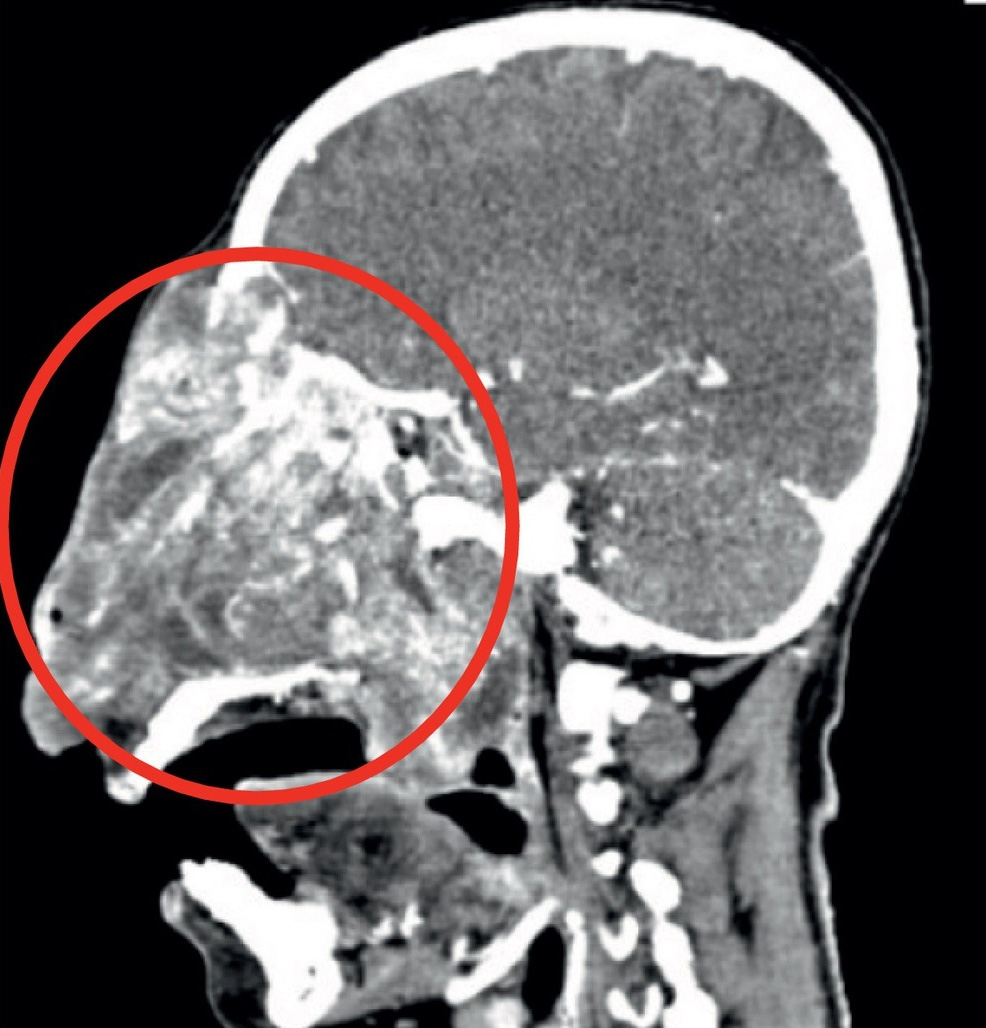
飛び出てる・・・。

鼻咽腔内に生じる良性腫瘍「鼻咽腔血管線維腫」の男性の画像。

手術で切除。

【関連記事】肉腫(サルコーマ)を発症した男性の顔、ヤバいことに・・・(画像)






情報参照元:www.sciencedirect.com

\ この記事をシェアする /

アクシデントカテゴリの最新記事