![]()
今でも液体シリコンを胸に注入する国が多くあるそうで・・・。
理想のオッパイを手に入れるため、胸に液状シリコン注射を何度もした女性の画像。
シリコン注入してから25年後に病院へやってきたそうです・・・。
【関連記事】とんでもないオッパイを持つ女が発見される・・・(動画)







情報参照元:www.researchgate.net
![]()
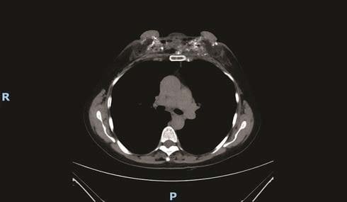
理想のオッパイを手に入れるため、胸に液状シリコン注射を何度もした女性の画像。
シリコン注入してから25年後に病院へやってきたそうです・・・。
【関連記事】とんでもないオッパイを持つ女が発見される・・・(動画)







情報参照元:www.researchgate.net