![]()
ダメ、絶対。
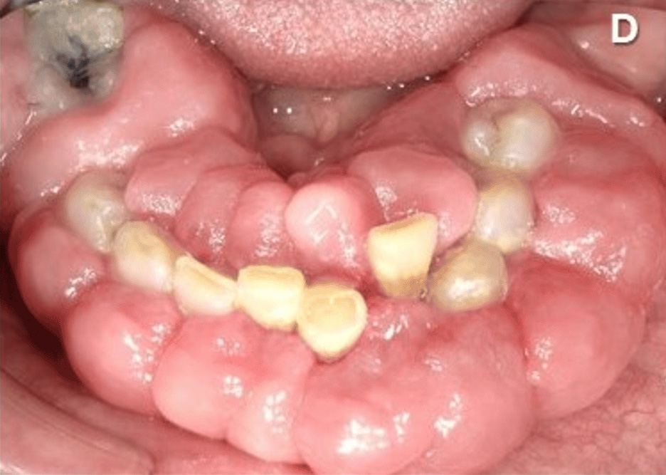
覚醒剤を乱用した61歳の男性の歯茎を撮影した画像。
5年間の覚醒剤使用とホームレス生活により口腔衛生不良があり、歯肉の肥大、疼痛、出血による咀嚼困難で病院へ。
【関連記事】麻薬中毒者たちの顔ビフォーアフター(動画)






情報参照元:www.cureus.com
![]()
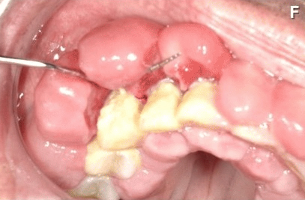
覚醒剤を乱用した61歳の男性の歯茎を撮影した画像。
5年間の覚醒剤使用とホームレス生活により口腔衛生不良があり、歯肉の肥大、疼痛、出血による咀嚼困難で病院へ。
【関連記事】麻薬中毒者たちの顔ビフォーアフター(動画)






情報参照元:www.cureus.com